Hiện nay với kính vi phẫu hiện đại, các bác sĩ Bệnh viện Đa khoa tỉnh Hòa Bình đã phẫu thuật cấp cứu thành công và hiệu quả hơn cho các trường hợp xuất huyết não bằng kỹ thuật lấy khối máu tụ ít xâm lấn.
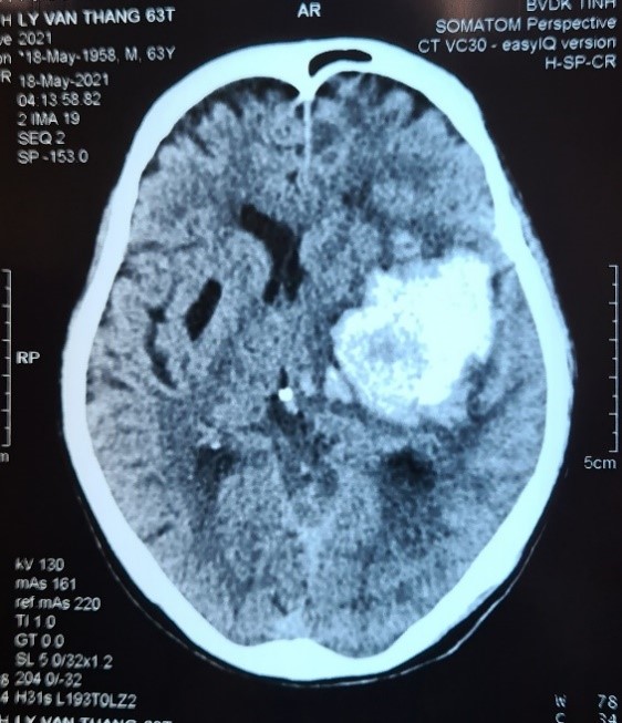
Bệnh nhân Lý Văn T. (63 tuổi) đột ngột xuất hiện tình trạng đau đầu, bất tỉnh được gia đình cấp cứu tại cơ sở rồi chuyển đến Bệnh viện Đa khoa tỉnh Hòa Bình. Lúc vào viện bệnh nhân trong tình trạng hôn mê Glassgow 9 điểm, thở khò khè, liệt nửa người phải, huyết áp 190/100mmHg. Kết quả chụp cắt lớp cho thấy hình ảnh chảy máu não vị trí nhân nền thái dương trái đè đẩy đường giữa nhiều, phù não xung quanh. Bệnh nhân đã được làm các xét nghiệm, hội chẩn cấp cứu các chuyên ngành Hồi sức cấp cứu, Ngoại Thần kinh với tình trạng xuất huyết não khối lượng lớn, chèn ép não nhiều cần phẫu thuật cấp cứu lấy máu tụ, cầm máu và giải áp não.

Các bác sĩ đang lấy khối máu tụ trong não qua kính vi phẫu
Ca mổ đã được thực hiện thành công, khối máu tụ được lấy hoàn toàn, cầm máu và giải áp não cho người bệnh tốt. Tuy nhiên, điều đặc biệt là khác với trước đây những trường hợp này các bác sĩ phải đi qua nhu mô não với các động tác ít nhiều gây tổn thương thêm các phần mô lành để vào trong mới lấy được khối máu tụ. Hiện nay, với việc được trang bị kính hiển vi phẫu thuật (Karl zeiss – S88) các bác sĩ đã đi qua khe Sylvius nên ít tác động vùng não lành hơn. Sau mổ hơn 1 ngày bệnh nhân đã có thể tự mở mắt, gọi hỏi đáp ứng, dần dần diễn biến tốt được cai thở máy, mạch huyết áp ổn định, tự thở tốt. Đặc biệt hơn là bệnh nhân dần hồi phục tiếng nói, chân phải đã có thể cử động được (đây là dấu hiệu khả quan hơn so với phương pháp tiếp cận khối máu tụ qua đường mở vỏ não, nhu mô não thái dương).
.jpg)

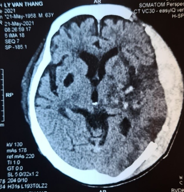
Hình ảnh chụp cắt lớp vi tính sọ não trước và sau phẫu thuật: Khối máu tụ được lấy hết hoàn toàn, nhu mô não được giải áp tốt, ít tổn thương
Xuất huyết não là một tổn thương sọ não nặng, khối máu tụ gây tổn thương và chèn ép tổ chức não. Nguyên nhân thường do vỡ các nhánh trung tâm của động mạch não giữa do tăng huyết áp. Trước đây để tiếp cận khối máu tụ, các bác sĩ phải mở qua một phần nhu mô não dầy nên nguy cơ để lại các di chứng cao hơn do phải tác động trực tiếp lên nhu mô não - nơi có các vùng chức năng quan trọng như vùng vận động, ngôn ngữ, đặc biệt là máu tụ ở bên bán cầu não trái. Để hạn chế biến chứng và bảo tồn tối đa chức năng não bộ của người bệnh, từ khi được trang bị kính vi phẫu thuật, các bác sĩ khoa Ngoại Thần kinh – Ung bướu đã thực hiện mổ lấy máu tụ trong não qua khe sylvius –thùy đảo để tiếp cận khối máu tụ. Đường mổ này theo khe tự nhiên của vỏ não nên có thể tiếp cận khối máu tụ mà chỉ xâm lấn tối thiểu, làm giảm tổn thương tổ chức não xung quanh khối máu tụ, bảo tồn các vùng chức năng quan trọng của não. Cùng với đó các phẫu thuật viên cũng sẽ kiểm soát và cầm máu dễ dàng hơn, ca mổ an toàn và người bệnh phục hồi nhanh hơn.
Đây là kỹ thuật khó, phức tạp do khe sylvius của não bộ là nơi có nhiều mạch máu và dây thần kinh quan trọng đi qua. Trước đây, kỹ thuật này được thực hiện chủ yếu ở các bệnh viện đầu ngành tuyến trung ương. Tuy nhiên, hiện nay kỹ thuật này cũng như một số các kỹ thuật khó thuộc chuyên ngành phẫu thuật sọ não – cột sống đã được triển khai thành công và thường quy tại Bệnh viện Đa khoa tỉnh Hòa Bình, mở ra hy vọng và cơ hội sống cho những bệnh nhân không may bị tai biến mạch máu não thể nặng, nguy kịch vẫn có cơ hội phục hồi hoàn toàn mà không phải chuyển lên tuyến trên, nâng cao chất lượng khám chữa bệnh tại tỉnh nhà.
Tiến sĩ, Bác sĩ Trương Như Hiển
Phó Giám đốc, Trưởng khoa Ngoại Thần kinh – BVĐK tỉnh Hoà Bình