Ngày 17 tháng 5 năm 2022, Bệnh viện đa khoa tỉnh Hòa Bình tiếp nhận bệnh nhân nam, 62 tuổi, nhập khoa Hồi sức cấp cứu trong tình trạng đau dữ dội vùng ngực trái, đau như bóp nghẹt vùng sau xương ức, đau lan lên cằm và lan ra cánh tay trái. Ngoài ra, bệnh nhân rơi vào tình trạng tím tái toàn thân, vã mồ hôi, chân tay lạnh, mạch đập chậm khoảng 52 lần/phút, huyết áp 90/60mmHg. Qua thăm khám lâm sàng và một số xét nghiệm cận lâm sàng, bệnh nhân được chẩn đoán Nhồi máu cơ tim cấp (tắc mạch máu cung cấp máu cho tim). Bệnh nhân được chuyển ngay đến khoa Nội Tim mạch để chụp mạch vành cấp cứu, kết quả: huyết khối gây hẹp 95% đoạn I-II động mạch liên thất trước, hẹp 90% đoạn I động mạch vành bên phải. Kíp can thiệp động mạch vành đã tiến hành nong và đặt Stent đoạn I động mạch liên thất trước và đoạn I động mạch vành bên phải. Sau can thiệp động mạch vành của bệnh nhân được tái thông hoàn toàn, bệnh nhân hết đau ngực, huyết động ổn định. Sau 6 ngày điều trị sức khoẻ người bệnh ổn định hết đau thắt ngực.
.jpg)
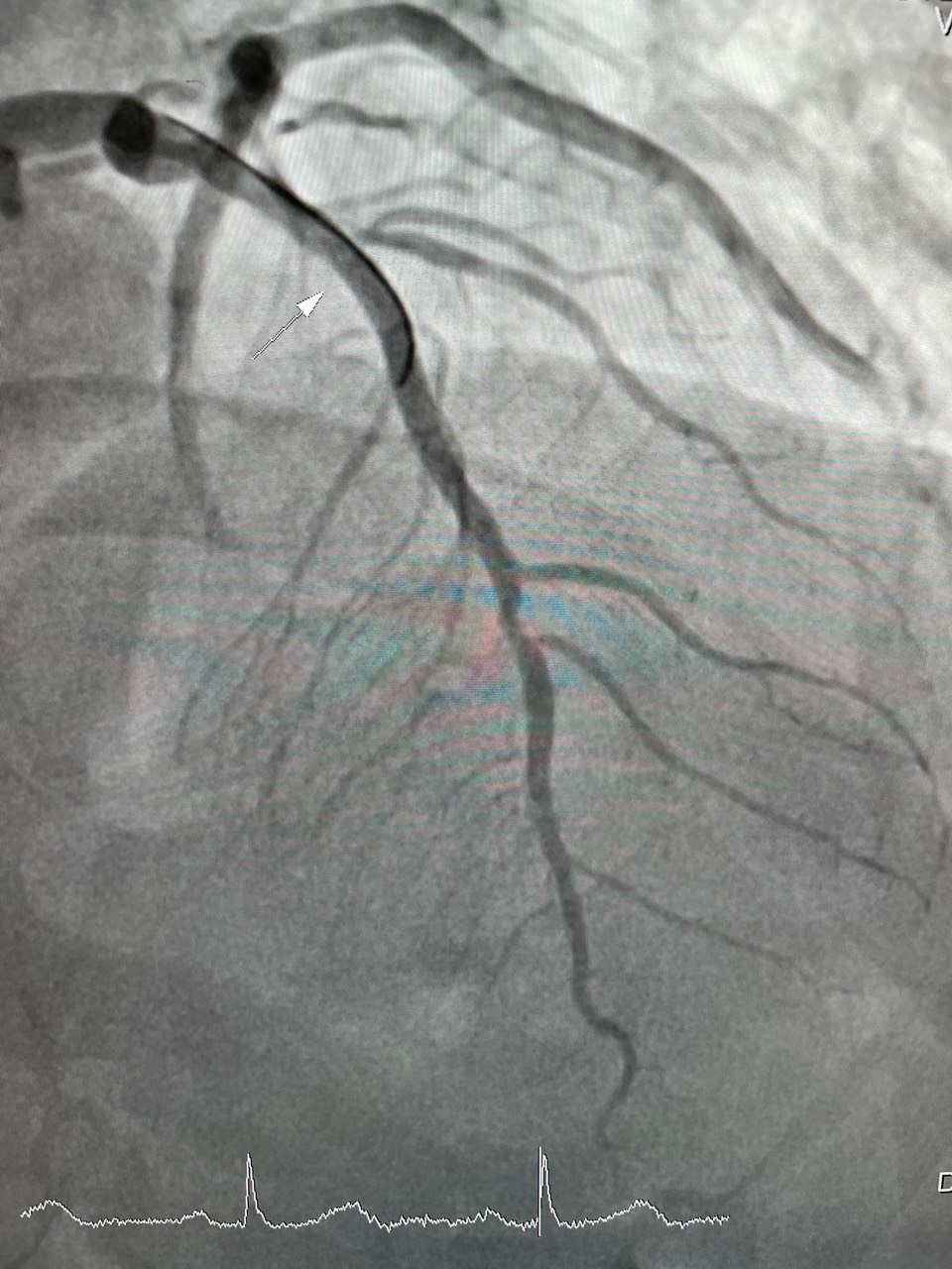
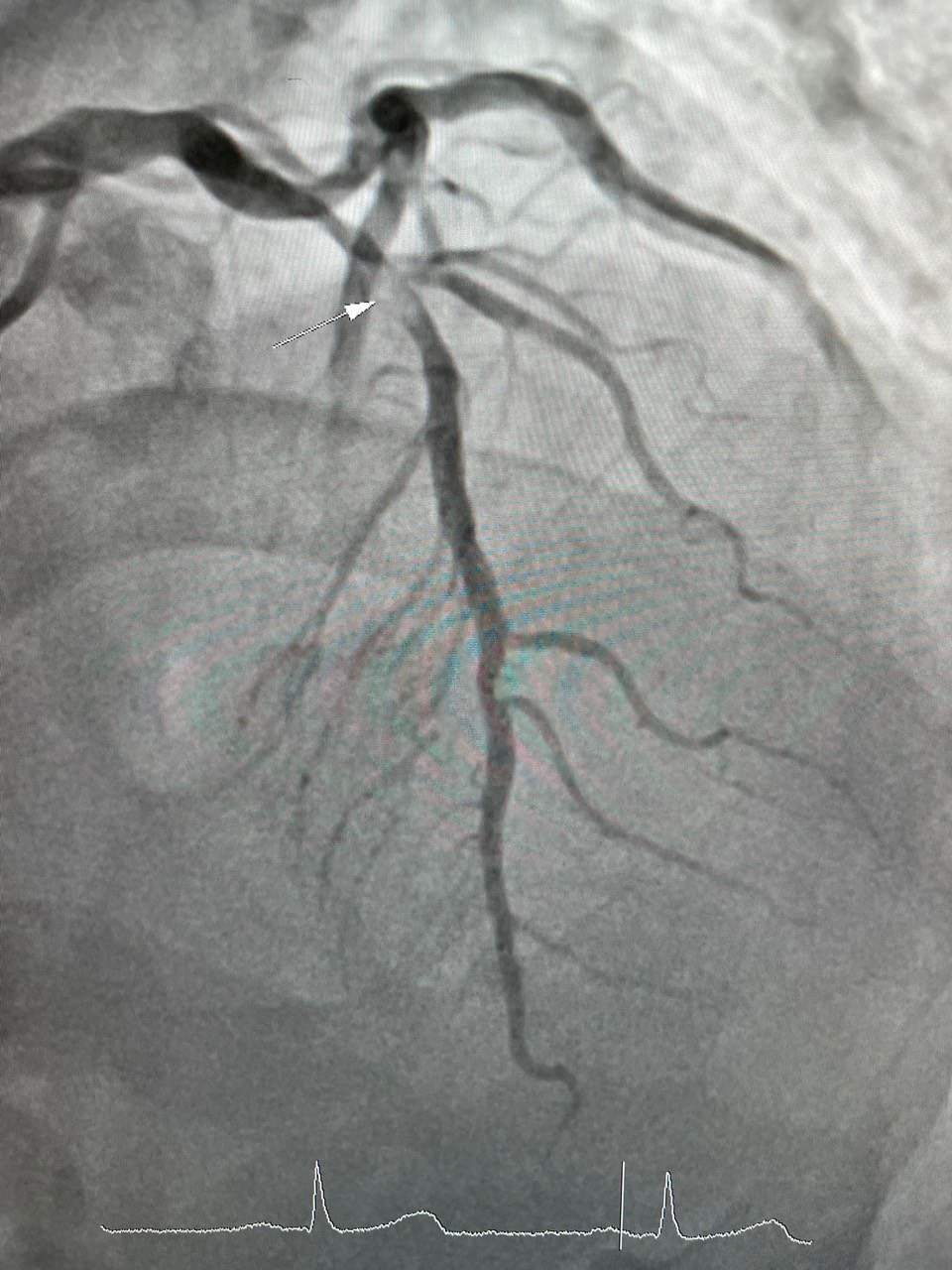
Hình 1 Hình 2
(Hình 1: huyết khối gây hẹp 95% động mạch liên thất trước. Hình 2: sau nong và đặt Stent động mạch liên thất trước tái thông hoàn toàn)
Theo BSCK II Trần Hoàng Dương trưởng khoa Nội tim mạch cho biết, bệnh nhân Nhồi máu cơ tim cấp là bệnh lý cấp cứu, tỷ lệ tử vong cao nếu không được cấp cứu và can thiệp mạch vành kịp thời. Bệnh thường gặp trên nền người bệnh tăng huyết áp, đái tháo đường, mỡ máu, hút thuốc lá, thuốc lào lâu năm. Khi thấy các dấu hiệu của bệnh nhồi máu cơ tim như đau tức ngực, khó thở, chóng mặt, buồn nôn, cần đưa người bệnh đến ngay cơ sở y tế có Khoa Tim mạch để được bác sĩ thăm khám, chẩn đoán và có biện pháp can thiệp kịp thời. Can thiệp động mạch vành là kỹ thuật chuyên môn sâu, đòi hỏi thầy thuốc có trình độ tay nghề cao và trang thiết bị y tế hiện đại. Với đội ngũ bác sĩ được đào tạo chuyên môn sâu, cùng hệ thống trang thiết bị hiện đại, kỹ thuật này đã được Bệnh viện đa khoa tỉnh Hoà Bình triển khai.
Khoa Nội Tim mạch – Bệnh viện đa khoa tỉnh Hoà Bình được đầu tư nhiều máy, trang thiết bị và công nghệ tiên tiến: Máy chụp mạch máu số hoá xoá nền (DSA), máy tạo nhịp tim, máy siêu âm dopler tim mạch, máy monitor theo dõi người bệnh nặng, máy sốc điện, giường đa năng, máy holter điện tâm đồ, điện tâm đồ gắng sức…đem lại hiệu quả điều trị bệnh tốt nhất cho người bệnh tim mạch.
Việc ứng dụng nhiều kỹ thuật chuyên sâu trong khám và điều trị bệnh lý tim mạch giúp cấp cứu kịp thời những bệnh nhân nguy kịch, người dân trên địa bàn tỉnh Hoà Bình không phải đi xa, góp phần giảm tải cho tuyến Trung ương.

Hình 3: Hình ảnh các bác sỹ can thiệp tim mạch cho bệnh nhân
.jpg)
Hình 4: Hình ảnh bệnh nhân khỏi bệnh, ra viện
BSCKII. Trần Hoàng Dương
Trưởng khoa Nội Tim mạch – Bệnh viện Đa khoa tỉnh Hoà Bình